Datasheet is currently unavailable. Try again or CONTACT US
Datasheet

RFX5 Antibody

Rabbit Polyclonal

7 References
200-401-194
100 µg
Liquid (sterile filtered)
WB, IF, ChIP, EMSA, IP
Human
Rabbit
$499.00 /Per Item
Shipping info:

Find your nearest distributor for timely delivery and local support.

Product Details

Anti-RFX5 (aa 320 to 494) (RABBIT) Antibody - 200-401-194
rabbit anti-RFX5 antibody, DNA binding protein RFX 5 antibody, Influences HLA class II expression antibody, Regulatory factor X 5 antibody, Regulatory factor X subunit 5 antibody, Regulatory factor X 5 (influences HLA class II expression) antibody
Rabbit
Polyclonal
IgG

Target Details

RFX5  - View All RFX5 Products
Human
Conjugated Peptide
RFX5 peptide corresponding to a region at amino acids 320 to 494 of the human protein conjugated to Keyhole Limpet Hemocyanin (KLH).
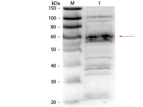
RFXF5 antibody was prepared from monospecific antiserum by delipidation, salt fractionation and ion exchange chromatography.  Anti-RFX5 (aa 320 to 494) may react with unknown minor bands at 65 kDa and 80 kDa.
P48382 - UniProtKB
CAO72162.1 - NCBI Protein
5993 - Gene ID

Application Details

WB
ChIP, EMSA, IF, IP  - View References
Anti RFX5 antibody has been assayed by immunoblot and found to be reactive against RFX5 (aa 320 to 494) from a variety of fibroblast and B-cell lysates at a dilution of 1:1,000 followed by reaction with Peroxidase conjugated Affinity Purified anti-Rabbit IgG.  Anti-RFX5 (aa 320 to 494) detects a 75 kDa band by immunoblot for human RFX5.  This product was also tested in a gel supershift assay and found to be reactive against RFX5 complexes using 0.5 to 1.0 µl per assay.

Formulation

1.0 mg/mL by UV absorbance at 280 nm
0.02 M Potassium Phosphate, 0.15 M Sodium Chloride, pH 7.2
0.01% (w/v) Sodium Azide
None

Shipping & Handling

Dry Ice
Store vial at -20° C prior to opening. Aliquot contents and freeze at -20° C or below for extended storage. Avoid cycles of freezing and thawing. Centrifuge product if not completely clear after standing at room temperature. This product is stable for several weeks at 4° C as an undiluted liquid. Dilute only prior to immediate use.
Expiration date is one (1) year from date of receipt.
Anti-RFX5 is specific for the RFX5 protein. RFX5 is the fifth member of the growing family of DNA-binding proteins sharing a novel and highly characteristic DNA-binding domain called the RFX motif. Multiple alternatively spliced transcript variants have been found but the full-length natures of only two have been determined. RFX5 has been shown to interact with CIITA.
(). Therapeutic targeting of EP300/CBP by bromodomain inhibition in hematologic malignancies. Cancer Cell.
Applications
WB, IB, PCA
(). RFX5 promotes the progression of hepatocellular carcinoma through transcriptional activation of KDM4A. Scientific Reports
Applications
ChIP
(). Forkhead transcription factor FOXO3a mediates interferon‐γ‐induced MHC II transcription in macrophages. Immunology
Applications
ChIP; WB, IB, PCA
(). The transcription factor RFX5 is a transcriptional activator of the TPP1 gene in hepatocellular carcinoma. Oncology Reports
Applications
ChIP; IP, Co-IP; WB, IB, PCA
(). In contrast to Chlamydia trachomatis, Waddlia chondrophila grows in human cells without inhibiting apoptosis, fragmenting the Golgi apparatus, or diverting post-Golgi sphingomyelin transport. Infection and Immunity
Applications
WB, IB, PCA
(). Interferon gamma repression of collagen (COL1A2) transcription is mediated by the RFX5 complex. J Biol Chem.
Applications
ChIP; IF, Confocal Microscopy; WB, IB, PCA
(). The RFX Family Interacts at the Collagen (COL1A2) Start Site and Represses Transcription. J Biol Chem.
Applications
Supershift, Gel Shift, EMSA; WB, IB, PCA

Invalid lot number

If you need help finding your CoA, contact us

This product is for research use only and is not intended for therapeutic or diagnostic applications. Please contact a technical service representative for more information. All products of animal origin manufactured by Rockland Immunochemicals are derived from starting materials of North American origin. Collection was performed in United States Department of Agriculture (USDA) inspected facilities and all materials have been inspected and certified to be free of disease and suitable for exportation. All properties listed are typical characteristics and are not specifications. All suggestions and data are offered in good faith but without guarantee as conditions and methods of use of our products are beyond our control. All claims must be made within 30 days following the date of delivery. The prospective user must determine the suitability of our materials before adopting them on a commercial scale. Suggested uses of our products are not recommendations to use our products in violation of any patent or as a license under any patent of Rockland Immunochemicals, Inc. If you require a commercial license to use this material and do not have one, then return this material, unopened to: Rockland Inc., P.O. BOX 5199, Limerick, Pennsylvania, USA.

Related products to: RFX5 Antibody