Datasheet is currently unavailable. Try again or CONTACT US
Datasheet Protocol SDS

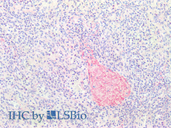
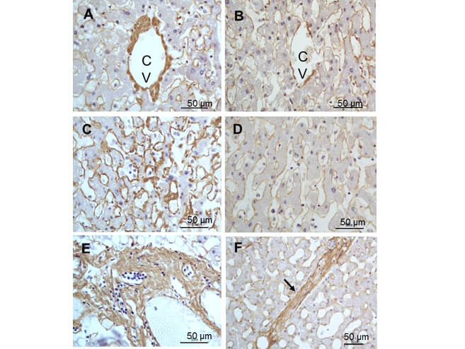
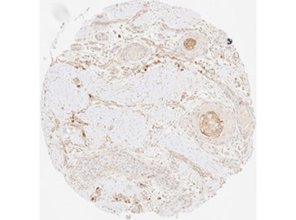
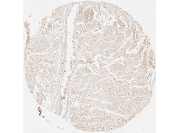
Collagen Type III Antibody

Rabbit Polyclonal

50 References
600-401-105S 600-401-105-0.1 600-401-105-0.5
25 µL 100 µg 500 µg
Liquid (sterile filtered) Liquid (sterile filtered) Liquid (sterile filtered)
WB, ELISA, IHC, IF, FC, Dot Blot, Multiplex
Human, Bovine, Pig
Rabbit
$125.00 /Per Item
$512.00 /Per Item
$1,001.00 /Per Item
25 µL $125.00
100 µg $512.00
500 µg $1,001.00
In stock
Ships next business day
In stock
Ships next business day
In stock
Ships next business day
Shipping info:

Find your nearest distributor for timely delivery and local support.

Product Details

Anti-Collagen Type III (RABBIT) Antibody - 600-401-105-0.1
rabbit anti-Collagen Type III antibody, Collagen type III alpha 1 antibody, Collagen type III alpha antibody, EDS4A antibody, Ehlers Danlos syndrome type IV, autosomal dominant antibody, Fetal collagen antibody, COL3A1, Collagen alpha-1 (III) chain
Rabbit
Polyclonal
IgG

Target Details

COL3A1  - View All COL3A1 Products
Human, Bovine, Pig
Native Protein
Collagen Type III from human and bovine placenta
Collagen III Antibody has been prepared by immunoaffinity chromatography using immobilized antigens. Some class-specific anti-collagens may be specific for three-dimensional epitopes which may result in diminished reactivity with denatured collagen or formalin-fixed, paraffin embedded tissues. This antibody reacts with most mammalian Type III collagens and has expected cross-reactivity with Type I and negligible cross reactivity with Type II, IV, V or VI collagens. Non-specific cross-reaction of anti-collagen antibodies with other human serum proteins or non-collagen extracellular matrix proteins has not been tested.
P02461 - UniProtKB
NP_000081.1 - NCBI Protein
1281 - Gene ID

Application Details

Dot Blot, IHC, WB
ELISA, FC, IF, Multiplex  - View References
Anti-Collagen Type III has been tested by dot Blot, western blot, and IHC and is useful for indirect trapping ELISA for quantitation of antigen in serum using a standard curve, immunoprecipitation, native (non-denaturing, non-dissociating) PAGE, immunohistochemistry, and western blotting for highly sensitive qualitative analysis.

Formulation

1.16 mg/mL by UV absorbance at 280 nm
0.02 M Potassium Phosphate, 0.15 M Sodium Chloride, pH 7.2
0.01% (w/v) Sodium Azide
None

Shipping & Handling

Wet Ice
Store vial at 4° C prior to opening.  This product is stable at 4° C as an undiluted liquid.  Dilute only prior to immediate use.  For extended storage, mix with an equal volume of glycerol, aliquot contents and freeze at -20° C or below.  Avoid cycles of freezing and thawing. 
Expiration date is one (1) year from date of receipt.
Rockland produces highly active antibodies and conjugates to collagens. Collagens are highly conserved throughout evolution and are characterized by an uninterrupted ''Glycine-X-Y'' triplet repeat that is a necessary part of the triple helical structure. For these reasons, it is often extremely difficult to generate antibodies with specificities to collagens. The development of ‘type’ specific antibodies is dependent on NON-DENATURED three-dimensional epitopes. Rockland extensively purifies collagens for immunization from human and bovine placenta and cartilage by limited pepsin digestion and selective salt precipitation. This preparation results in a native conformation of the protein. Antibodies are isolated from rabbit antiserum and are extensively cross-adsorbed by immunoaffinity purification to produce 'type' specific antibodies. Greatly diminished reactivity and selectivity of these antibodies will result if denaturing and reducing conditions are used for SDS-PAGE and immunoblotting. Ideal for investigators involved in Cell Biology, Signal Transduction and Stem Cell research.
(). Management of autofluorescence in formaldehyde-fixed myocardium: choosing the right treatment. Eur J Histochem.
Applications
IF, Confocal Microscopy
(). Myelofibrosis progression grading based on type I and type III collagen and fibrillin 1 expression boosted by whole slide image analysis. Histopathology.
Applications
IHC, ICC, Histology
(). Phenotypic drug screening in a human fibrosis model identified a novel class of antifibrotic therapeutics. Sci Adv.
Applications
WB, IB, PCA
(). Exercise-Induced Increases in Insulin Sensitivity After Bariatric Surgery Are Mediated By Muscle Extracellular Matrix Remodeling. Diabetes.
Applications
IHC, ICC, Histology
(). Attenuation of Flightless I Increases Human Pericyte Proliferation, Migration and Angiogenic Functions and Improves Healing in Murine Diabetic Wounds. Int J Mol Sci.
Applications
IHC, ICC, Histology
(). Loss of HIF1A from pancreatic cancer cells increases expression of ppp1r1b and degradation of p53 to promote invasion and metastasis. Gastroenterology
Applications
IHC, ICC, Histology
(). CILP1 as a biomarker for right ventricular maladaptation in pulmonary hypertension. Eur Respir J.
Applications
IF, Confocal Microscopy
(). Systemic Delivery of Anti-integrin αL Antibodies Reduces Early Macrophage Recruitment, Inflammation, and Scar Formation in Murine Burn Wounds. Adv Wound Care (New Rochelle).
Applications
IHC, ICC, Histology
(). HIF2A-LOX Pathway Promotes Fibrotic Tissue Remodeling in Thyroid-Associated Orbitopathy. Endocrinology.
Applications
IF, Confocal Microscopy
(). Reversal of Vocal Fold Mucosal Fibrosis Using siRNA against the Collagen-Specific Chaperone Serpinh1. Mol Ther Nucleic Acids.
Applications
IHC, ICC, Histology
(). Epithelial-fibroblast cross talk aggravates the impact of the nephrotoxin ochratoxin A. Biochem Biophys Acta Mol Cell Res.
Applications
WB, IB, PCA
(). The pro-fibrotic connective tissue growth factor (CTGF/CCN2) correlates with the number of necrotic-regenerative foci in dystrophic muscle. J Cell Commun Signal.
Applications
IF, Confocal Microscopy
(). Cub domain-containing protein 1 negatively regulates TGF-β signaling and myofibroblast differentiation. Am J Physiol Lung Cell Mol Physiol.
Applications
WB, IB, PCA
(). A Novel Microplate 3D Bioprinting Platform for the Engineering of Muscle and Tendon Tissues. SLAS Technol.
Applications
IHC, ICC, Histology
(). Expression of CTGF/CCN2 in response to LPA is stimulated by fibrotic extracellular matrix via the integrin/FAK axis. Am J Physiol Cell Physiol.
Applications
WB, IB, PCA
(). Osteopontin RNA aptamer can prevent and reverse pressure overload-induced heart failure. Cardiovasc Res.
Applications
IHC, ICC, Histology
(). Biocomposite nanofiber matrices to support ECM remodeling by human dermal progenitors and enhanced wound closure. Sci Rep.
Applications
IHC, ICC, Histology
(). Continuous Grading of Early Fibrosis in NAFLD Using Label-Free Imaging: A Proof-of-Concept Study. PLoS One.
Applications
IF, Confocal Microscopy
(). Surface proteome analysis identifies platelet derived growth factor receptor-alpha as a critical mediator of transforming growth factor-beta-induced collagen secretion. Int J Biochem Cell Biol.
Applications
WB, IB, PCA
(). Cardiac-restricted Overexpression of TRAF3 Interacting Protein 2 (TRAF3IP2) Results in Spontaneous Development of Myocardial Hypertrophy, Fibrosis, and Dysfunction. J Biol Chem.
Applications
IF, Confocal Microscopy; Multiplex Assay
(). Dynamic remodeling of endometrial extracellular matrix regulates embryo receptivity in cattle Reproduction.
Applications
IHC, ICC, Histology
(). Collagen structural alterations contribute to stiffening of tissue after split-thickness skin grafting. Wound Repair Regen.
Applications
IHC, ICC, Histology
(). Defining the identity of mouse embryonic dermal fibroblasts. Genesis.
Applications
IHC, ICC, Histology; IF, Confocal Microscopy
(). Keloid Pathogenesis: Potential Role of Cellular Fibronectin with the EDA Domain. Journal of Investigative Dermatology
Applications
WB, IB, PCA
(). Interaction of Biomechanics with Extracellular Matrix Components in Abdominal Aortic Aneurysm Wall. Eur J Vasc Endovasc Surg.
Applications
IHC, ICC, Histology
(). Long-term type 1 diabetes alters the deposition of collagens and proteoglycans in the early pregnant myometrium of mice. Favaro RR, Raspantini PR, Salgado RM, Fortes ZB, Zorn TM.
Applications
IF, Confocal Microscopy
(). Andrographolide attenuates skeletal muscle dystrophy in mdx mice and increases efficiency of cell therapy by reducing fibrosis Skelet Muscle.
Applications
WB, IB, PCA
(). A novel murine model of hypertrophic scarring using subcutaneous infusion of bleomycin. Plast Reconstr Surg.
Applications
IHC, ICC, Histology
(). 3-D adipocyte differentiation and peri-adipocyte collagen turnover. Methods Enzymol.
Applications
IHC, ICC, Histology; IF, Confocal Microscopy
(). Inhibition of the angiotensin-converting enzyme decreases skeletal muscle fibrosis in dystrophic mice by a diminution in the expression and activity of connective tissue growth factor (CTGF/CCN-2). Cell Tissue Res.
Applications
WB, IB, PCA
(). Reconstitution of the myocardium in regenerating newt hearts is preceded by transient deposition of extracellular matrix components. Stem Cells Dev.
Applications
IF, Confocal Microscopy; Multiplex Assay
(). Propolis Modifies Collagen Types I and III Accumulation in the Matrix of Burnt Tissue. Evid Based Complement Alternat Med.
Applications
IF, Confocal Microscopy; WB, IB, PCA
(). Differential expression of embryonic epicardial progenitor markers and localization of cardiac fibrosis in adult ischemic injury and hypertensive heart disease. J Mol Cell Cardiol.
Applications
IF, Confocal Microscopy; Multiplex Assay
(). Overexpression of Twinkle-helicase protects cardiomyocytes from genotoxic stress caused by reactive oxygen species. Proc Natl Acad Sci U S A.
Applications
IHC, ICC, Histology
(). The effects of fibrin and fibrin-agarose on the extracellular matrix profile of bioengineered oral mucosa. J Tissue Eng Regen Med.
Applications
IHC, ICC, Histology
(). Proteoglycan and collagen expression during human air conducting system development. Eur J Histochem.
Applications
IHC, ICC, Histology
(). Getting to the heart of cardiac remodeling; how collagen subtypes may contribute to phenotype. J Mol Cell Cardiol.
Applications
EIA, ELISA
(). Syndecan-4 is essential for development of concentric myocardial hypertrophy via stretch-induced activation of the calcineurin-NFAT pathway. PLoS One.
Applications
IHC, ICC, Histology
(). The role of decorin and biglycan dermatan sulfate chain (s) in fibrosis-affected fascia. Glycobiology
Applications
WB, IB, PCA
(). Improved serum-free culture conditions for spleen-derived murine fibrocytes. J Immunol Methods
Applications
FC, FACS, FLOW; Multiplex Assay
(). Morphological and extracellular matrix changes following vocal fold injury in mice. Cells Tissues Organs.
Applications
IHC, ICC, Histology
(). Twist1 promotes heart valve cell proliferation and extracellular matrix gene expression during development in vivo and is expressed in human diseased aortic valves. Dev Biol.
Applications
IF, Confocal Microscopy; Multiplex Assay
(). Distinct types of fibrocyte can differentiate from mononuclear cells in the presence and absence of serum. PLoS One.
Applications
IF, Confocal Microscopy; Multiplex Assay
(). Persistent activation of dermal fibroblasts from patients with gadolinium-associated nephrogenic systemic fibrosis. Annals of the Rheumatic Diseases
Applications
WB, IB, PCA
(). Temporary fatigue and altered extracellular matrix in skeletal muscle during progression of heart failure in rats. Am J Physiol Regul Integr Comp Physiol.
Applications
WB, IB, PCA
(). Genetic deletion of the angiotensin-(1-7) receptor Mas leads to glomerular hyperfiltration and microalbuminuria. Kidney Int.
Applications
IHC, ICC, Histology
(). Pivotal Advance: Th-1 cytokines inhibit, and Th-2 cytokines promote fibrocyte differentiation. J Leukoc Biol.
Applications
IHC, ICC, Histology
(). The effect of external fractionated irradiation on the distribution pattern of extracellular matrix proteins in submandibular salivary glands of the rat. J Craniomaxillofac Surg.
Applications
IHC, ICC, Histology
(). The presence of collagen III and IV in experimental microsurgical anastomoses of arteries. J Oral Maxillofac Surg.
Applications
IHC, ICC, Histology
(). Association of the developing acrosome with multiple small Golgi units, the Golgi satellites, in spermatids of the musk shrew, Suncus murinus. J Reprod Fertil.
Applications
IHC, ICC, Histology

What were the immunogens for the collagen antibodies?

The immunogens for the collagen antibodies are the respective purified solubilized native collagen proteins (tropocollagens).

In what format are the collagen antibodies provided?

The collagen antibodies are provided in liquid format at a concentration of around 1 mg/mL (Absorbance 280 nm).

In what buffer are the collagen antibodies provided?

0.02 M Potassium Phosphate, 0.15 M Sodium Chloride, pH 7.2 with 0.01% (w/v) Sodium Azide.

Are the antibodies specific to the reduced or non-reduced (native) proteins?

The collagen antibodies are specific to the native 3D epitopes found on the collagen native collagen protein. The collagen antibodies may have no reactivity to reduced collagen.

How was the reactivity of the antibodies tested? Was cross-reactivity to other collagens tested?

Each antibody was tested by immunoblot against each type of collagen (Type I – VI). Due to the close association of collagen proteins, cross-reactivity to other collagens may be observed. The optimal experimental conditions should be determined to minimize cross-reactivity in your application.

What are the recommended storage conditions for collagen antibodies?

The recommended storage temperature for collagen antibodies is -20°C. Please be sure to add glycerol 1:1 before freezing. We recommend making aliquots for best stability. The antibodies are stable for several weeks at 4°C.

Invalid lot number

If you need help finding your CoA, contact us

This product is for research use only and is not intended for therapeutic or diagnostic applications. Please contact a technical service representative for more information. All products of animal origin manufactured by Rockland Immunochemicals are derived from starting materials of North American origin. Collection was performed in United States Department of Agriculture (USDA) inspected facilities and all materials have been inspected and certified to be free of disease and suitable for exportation. All properties listed are typical characteristics and are not specifications. All suggestions and data are offered in good faith but without guarantee as conditions and methods of use of our products are beyond our control. All claims must be made within 30 days following the date of delivery. The prospective user must determine the suitability of our materials before adopting them on a commercial scale. Suggested uses of our products are not recommendations to use our products in violation of any patent or as a license under any patent of Rockland Immunochemicals, Inc. If you require a commercial license to use this material and do not have one, then return this material, unopened to: Rockland Inc., P.O. BOX 5199, Limerick, Pennsylvania, USA.