Datasheet is currently unavailable. Try again or CONTACT US
Datasheet

ATM Protein Kinase S1981 Antibody

Rabbit Polyclonal

7 References
600-401-398
100 µg
Liquid (sterile filtered)
WB, ELISA, IHC, IF, FC, Multiplex
Human, Mouse
Rabbit
$499.00 /Per Item
Shipping info:

Find your nearest distributor for timely delivery and local support.

Product Details

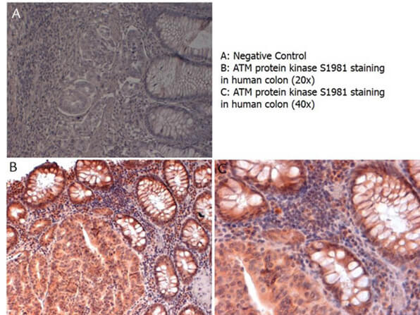
Anti-ATM Protein Kinase S1981 (RABBIT) Antibody - 600-401-398
rabbit anti-ATM antibody, rabbit anti-ATM protein kinase S1891 antibody, rabbit anti-ATM protein kinase antibody, Ataxia telangiectasia mutated, A-T mutated, Serine-protein kinase ATM
Rabbit
Polyclonal
IgG

Target Details

ATM  - View All ATM Products
Human, Mouse
Conjugated Peptide
This antibody was affinity purified from whole rabbit serum prepared by repeated immunizations with a synthetic peptide S-L-A-F-E-E-G-S-Q-S-T-T-I-S-S corresponding to aa 1974-1988 of human ATM conjugated to KLH using maleimide.
This affinity-purified antibody is directed against human ATM and is useful in determining its presence in various assays. This polyclonal anti-ATM antibody detects native and over-expressed proteins found in various tissues and extracts.  Reactivity is observed against human ATM and cross reactivity with ATM from other mammalian sources has not been tested.
Q13315 - UniProtKB
NP_000042.3 - NCBI Protein
472 - Gene ID

Application Details

ELISA, IHC, WB
FC, IF, Multiplex  - View References
Affinity purified rabbit anti-ATM has been tested by ELISA, immunohistochemistry, western blotting and suitable for biological assays against both the native and recombinant forms of the protein.

Formulation

1.1 mg/mL by UV absorbance at 280 nm
0.02 M Potassium Phosphate, 0.15 M Sodium Chloride, pH 7.2
0.01% (w/v) Sodium Azide
None

Shipping & Handling

Dry Ice
Store vial at -20° C prior to opening. Aliquot contents and freeze at -20° C or below for extended storage. Avoid cycles of freezing and thawing. Centrifuge product if not completely clear after standing at room temperature. This product is stable for several weeks at 4° C as an undiluted liquid. Dilute only prior to immediate use.
Expiration date is one (1) year from date of receipt.
ATM, the gene mutated in the hereditary disease ataxia-telangiectasia, codes for a protein kinase that acts as a master regulator of cellular responses to DNA double-strand breaks. ATM is normally inactive and the question of how it is activated in the event of DNA damage (due to ionizing radiation for instance) is central to understanding its function. ATM protein is now shown to be present in undamaged cells as an inactive dimer. Low doses of ionizing radiation, which induce only a few DNA breaks, activate at least half of the total ATM protein present, possibly in response to changes in chromatin structure. The ATM gene encodes a 370-kDa protein that belongs to the phosphoinositide 3-kinase (PI(3)K) superfamily, but which phosphorylates proteins rather than lipids. The 350-amino-acid kinase domain at the carboxy terminus of this large protein is the only segment of ATM with an assigned function. Exposure of cells to IR triggers ATM kinase activity, and this function is required for arrests in G1, S and G2 phases of the cell cycle. Several substrates of the ATM kinase participate in these IR-induced cell-cycle arrests. These include p53, Mdm2 and Chk2 in the G1 checkpoint; Nbs1, Brca1, FancD2 and SMC1 in the transient IR-induced S-phase arrest; and Brca1 and hRad17 in the G2/M checkpoint. See Bakkenist, C. J. & Kastan, M. B. Nature 421, 499-506 (2003) for a complete presentation of this antibody's specificity and utility.
(). Hypoxia-Targeted Drug Q6 Induces G2-M Arrest and Apoptosis via Poisoning Topoisomerase II under Hypoxia. PLOS One
Applications
WB, IB, PCA
(). Activation-induced cytidine deaminase-initiated off-target DNA breaks are detected and resolved during S phase. J Immunol.
Applications
FC, FACS, FLOW; IF, Confocal Microscopy
(). Pathological neoangiogenesis depends on oxidative stress regulation by ATM. Nat Med.
Applications
IF, Confocal Microscopy; WB, IB, PCA; Multiplex Assay
(). HP1α recruitment to DNA damage by p150CAF-1 promotes homologous recombination repair. J Cell Biol.
Applications
IF, Confocal Microscopy; WB, IB, PCA
(). Essential roles of Xenopus TRF2 in telomere end protection and replication. Genes Cells.
Applications
Undefined
(). Deep senescent human fibroblasts show diminished DNA damage foci but retain checkpoint capacity to oxidative stress. FEBS Lett.
Applications
WB, IB, PCA
(). ATM activation and its recruitment to damaged DNA require binding to the C terminus of Nbs1. Mol Cell Biol.
Applications
WB, IB, PCA

Invalid lot number

If you need help finding your CoA, contact us

This product is for research use only and is not intended for therapeutic or diagnostic applications. Please contact a technical service representative for more information. All products of animal origin manufactured by Rockland Immunochemicals are derived from starting materials of North American origin. Collection was performed in United States Department of Agriculture (USDA) inspected facilities and all materials have been inspected and certified to be free of disease and suitable for exportation. All properties listed are typical characteristics and are not specifications. All suggestions and data are offered in good faith but without guarantee as conditions and methods of use of our products are beyond our control. All claims must be made within 30 days following the date of delivery. The prospective user must determine the suitability of our materials before adopting them on a commercial scale. Suggested uses of our products are not recommendations to use our products in violation of any patent or as a license under any patent of Rockland Immunochemicals, Inc. If you require a commercial license to use this material and do not have one, then return this material, unopened to: Rockland Inc., P.O. BOX 5199, Limerick, Pennsylvania, USA.